STOMATOLOŠKA ORDINACIJA
Prof. Dr sci stom Krsto Kovačević,
Spec. za Parodontologiju i Oralnu medicinu
Stomatološka ordinacija Dental studio nalazi se u Institutu za fizikalnu medicinu, rehabilitaciju i reumatologiju dr. “Simo Milošević” u Igalu. Ova ustanova se ubraja u najveće i najpoznatije institucije za multidisciplinarno banjsko liječenje na Mediteranu.
UCINITE NESTO ZA VAS OSMEH !
Posjetite stomatolosku ordinaciju prof.Kovacevica u novoj fazi instituta Igalo.Ovdje mozete uraditi lijecenje
-oboljelih od parodontopatije
-ugraditi implantate
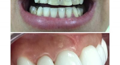
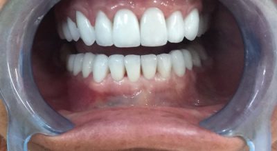
-sve vrste protetskih radova ( metalne i bezmetalne cirkonijum krunice i mostove) kao i sve vrste protetskih radova koje za nas izradjuje laboratorija u Njemackoj.
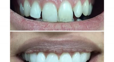
-postavljanje venira( faseta)-bez bola i bez anestezije i bez brusenja zuba.
-Lasersko izbjeljivanje zuba
-Pregledi i konsultacije se ne naplacuju.
Dr. Nikola Kovačević – stomatolog
Prof. Krsto Kovačević, DDS, MS, Ph. D Spec. za Parodontologiju i Oralnu medicinu
Dr. Sanja Kovačević – stomatolog
Dolazak, sa svih svjetskih destinacija, odvija se preko tri medjinarodna aerodroma:
Tivat – 23 km
Dubrovnik (Republika Hrvatska) – 24 km i
Podgorica – 100 km
Sačuvajte lijep osmijeh i zdrave zube!
About us
DENTAL STUDIO
Prof. Krsto Kovačević, DDS, MS, PhD
Specialist in periodontology and oral medicine
Dental STUDIO is located at the Institute of Physical Medicine, Rehabilitation and Rheumatology dr. “Simo Milosevic” in Igalo. This institution is one of the largest and most well- known institution for Multidisciplinary and European Spa Treatment in the Mediterranean.

Check with all the destinations in the world, takes place over three international airports:
Tivat – 23 km
Dubrovnik (Republic Croatia) – 24 km i
Podgorica – 100 km
In our ordination, we provide the following treatment
– Treatment of patients with periodontal disease
– Periodontal surgery
– Aesthetic surgery
– Prothetics – laboratory in Germany
– Teeth whitening
– Implantology





VENEERS

NO PAIN, NO PREPARATION, NO ANESTHESIA


Save your beautiful smile and healthy teeth!




